• Accueil
  • A propos
  • Services et produits
  • ARCD
  • Actualité
  • SAV
  • Réalisations
  • Fondatrice
  • Carrière
  • Contacts

Imagerie pour la radiothérapie

En permettant aux spécialistes en radiothérapie d’examiner les faits de plus près, nos solutions d’imagerie sur mesure contribuent à obtenir des résultats optimaux pour chaque patient et permettent aux experts d’anticiper comme jamais auparavant l’avenir des thérapies personnalisées. 

Points saillants du portefeuille d'imagerie en radiothérapie

L'imagerie fondement de la radiothérapie

La simulation par tomodensitométrie marque le début du parcours de radiothérapie d'un patient. Découvrez pourquoi nous pensons que cette première image joue un rôle crucial tout au long du traitement.

IRM pour la radiothérapie

Nos systèmes d'imagerie par résonance magnétique (IRM) optimisent vos capacités d'imagerie grâce à un contraste des tissus mous qui révèle de nouvelles perspectives, des informations fonctionnelles détaillées et une imagerie résolue dans le temps pour les organes en mouvement.

Solution de contournage automatique basées sur l'IA

Découvrez nos solutions automatisées de contournage des organes à risque pour différents environnements cliniques.

Famille de biographies pour la planification de la radiothérapie

Établir la norme en TEP/TDM pour la radiothérapie.

Tomodensitométrie pour la radiothérapie

Grâce à nos simulateurs CT intelligents, nous repoussons les limites : nous nous attaquons aux principaux défis et souhaitons soutenir les approches thérapeutiques modernes pour de meilleurs résultats.

NAEOTOM Alpha.Prime pour RT

Misez sur la clarté.

SOMATOM go.Sim

Ensemble, créons de l'efficacité

Option de portique coulissant pour certains scanners SOMATOM go.

Douze étapes plus près de vous - Imagerie CT flexible sur rails

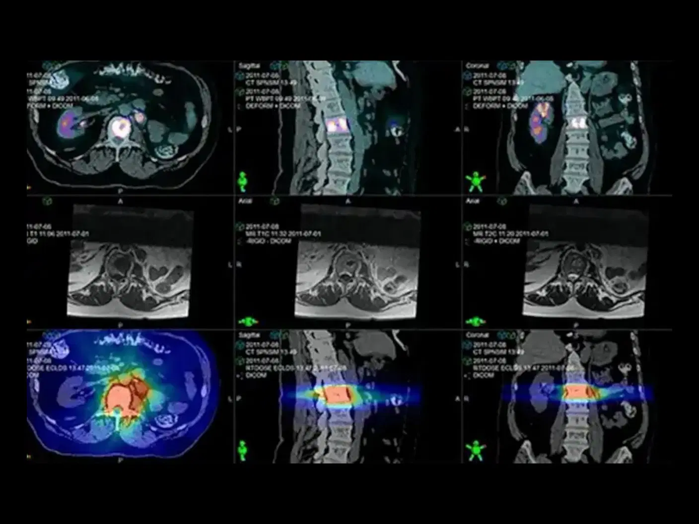
TEP/TDM pour la radiothérapie

L’examen TEP/TDM peut aider à répondre à des questions cliniques auxquelles l’imagerie anatomique seule ne pourrait pas répondre. Le système TEP/TDM Biograph  fournit des informations métaboliques et morphologiques combinées, ce qui a un impact majeur sur la planification thérapeutique et l’évaluation des tumeurs primaires et récidivantes.

Biography Horizon

Prêt pour la suite.

Biographie mCT

Clairement au-delà.

Biographie Vision Mc

Performance axée sur la précision

Biographie Vision Quadra

Une vision plus large. De meilleurs réponses.

Solutions numériques pour la radiothérapie

Des solutions logicielles et basées sur l'IA, adaptées à vos besoins en radiothérapie.

Syngo. via RT Image Suite

Transformer des données disparates en connaissances cliniques exploitables.

Solution de contournage automatique basées sur l'IA

Transformer des données disparates en connaissances cliniques exploitables.

Vitesse

Transformer des données disparates en connaissances cliniques exploitables.
fr_FRFrench